Menino engole 40 chicletes e vai parar no pronto-socorro
Um grande bolo de goma de mascar se formou no estômago dele, ocupando cerca de 25% do órgão
Um menino de 5 anos deu entrada em um pronto-socorro em Ohio, nos Estados Unidos, com fortes dores abdominais e diarreia, depois de ter engolido 40 chicletes, um dia antes.
“O paciente mastigava um pedaço, depois engolia, depois mastigava outro pedaço e engolia, até acabar todo o pacote de chiclete”, relataram os médicos que o atenderam, em um artigo publicado no periódico científico JEM Reports.
No exame inicial, o menino não apresentava febre, e os sinais vitais estavam normais. Devido ao relato, os médicos suspeitaram que ele poderia ter um bezoar (massa de material indigerível) de goma de mascar.
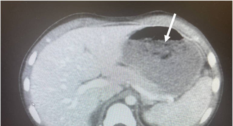
Foi realizada inicialmente uma TC (tomografia computadorizada) de abdômen e pelve que “mostrou distensão gástrica com líquido e detritos”, sendo difícil que os médicos determinassem o que poderia ser uma refeição — ele havia tomado café da manhã — ou o bezoar.

REPRODUÇÃO
Os profissionais procederam então com um exame de esofagogodenoscopia diagnóstica e terapêutica, que revelou um bolo de goma de mascar que preenchia aproximadamente 25% do estômago do paciente.
“O bezoar foi removido com múltiplas passagens do esofagoscópio. Não houve evidência da passagem do bezoar para o duodeno”, complementaram os autores.
A criança recebeu alta hospitalar no segundo dia de internação e se recuperou bem. As informações são do R7.








 “
“