Tumor no pulmão de idosa reduz 76% após uso de canabidiol
Após receber tratamento alternativo com canabidiol (CBD), o tumor no pulmão direito de uma idosa de 80 anos do Reino Unido reduziu em 76%.
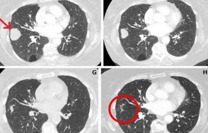
O câncer foi descoberto em junho de 2018, com 41mm. Em março deste ano o tamanho era de 10mm.
O tratamento experimental, realizado durante quase três anos, agora foi publicado no periódico científico BMJ Case Reports.
O tratamento Alternativo
Por receio dos efeitos dos tratamentos convencionais (quimioterapia, radioterapia e cirurgia), ela optou por um alternativo, com menos riscos.
A idosa foi tratada com medicamentos para doença pulmonar obstrutiva crônica leve (DPOC), osteoartrite, hipertensão e 0,5 ml de canabidiol de duas a três vezes por dia.
O canabidiol, componente não psicoativo encontrado na cannabis, já tinha sua importância para aliviar sintomas colaterais do tratamento do câncer. Entre eles, dores, náuseas, ansiedade e perda de apetite.
Estudos
A divulgação do resultado do tratamento alternativo no Reino Unido abre caminho para novas pesquisas e traz esperança!
Em 2014, os EUA estudaram o uso da maconha mas no combate ao câncer cerebral agressivo, e também tiveram resultados promissores.
A eficácia da substância para matar células cancerígenas, enquanto protege as saudáveis – bloqueando o desenvolvimento dos vasos sanguíneos necessários para o avanço dos tumores – foi divulgada pelo Instituto Nacional do Câncer, ligado ao Departamento de Saúde dos EUA.
(Só Notícia Boa)



“